日本矯正歯科学会「認定医・専門医」在籍
世界シェアNo.1のマウスピース矯正
「インビザライン」

さまざまな症例に対応できる
「ワイヤー矯正」

- 前歯だけ部分矯正
- 後戻りした歯を再矯正
当院であれば、良心的な価格で受けることができます!

日本矯正歯科学会「認定医・専門医」在籍






インビザラインが世界中で普及している理由のひとつは「iTero」という独自システムです。治療中、どのように歯が動いていくかシミュレーションできます。これによって、治療後のイメージを共有できます。治療後のイメージが異なる場合、事前に医師と患者さんの間でイメージのすり合わせができるのです。

歯並び全体の矯正だけでなく、前歯だけなど、気になる部分だけの矯正もできます。全体的な矯正治療と比べ、治療期間は短く、さらに治療費も抑えられるケースが多いので、無駄な出費がいりません。
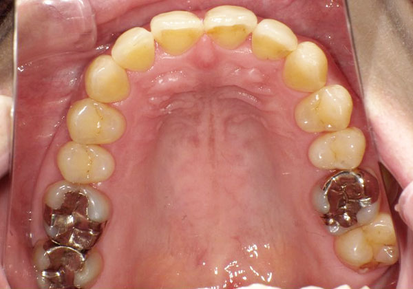
◆マウスピース矯正(50代女性)




(主訴)抜歯をせず歯並びを治したい、矯正中も目立たない方法がよい。
非抜歯で1年弱の治療期間で上下ともに歯列が整った症例です。治療結果だけでなく、費用や治療期間についても想定より安く・短く済み、「治療をもっと早く開始すればよかった」というお声をいただきました。

マウスピース矯正の治療中に「歯が動かない!」というトラブルを耳にします。マウスピース矯正は、従来からあるワイヤー矯正と比べて、歯科医師が介入することが少ない治療です。
シミュレーションで利用するAIは、人より正確性に長けていますが、残念ながらまだ完璧ではありません。そのため、最終的には歯科医師による調整を行うケースが一般的です。その調整がうまくできない場合、歯が動かないトラブルに繋がるのです。
最近はマウスピース矯正が爆発的に人気を集めており、多くの歯科医院でマウスピース矯正を行っています。しかし、歯科医師による調整を行わない(行えるだけの知識がない)医院が散見されます。スケジュール通りに歯を動かし、歯科矯正治療を進めていくためには、経験と実績が豊富な医師のいる歯科医院で治療を受けることが不可欠なのです。
また、取り扱っているマウスピース矯正のメーカーにも注目しましょう。
中には要注意のメーカーも存在します。
治療予定の歯科医院が、どのメーカーのマウスピース矯正装置を扱っているか、確認することをお勧めします。

歯並びの矯正において、ワイヤー矯正は昔から一般的な矯正方法です。歯の表面に付けるワイヤーやブラケットが目立つ、一度つけると治療後まで取り外しができない、といったデメリットから避ける方も数多くいらっしゃいました。
しかし、最近ではマスク着用の方が増えて、ワイヤーでも問題がないことから、再びワイヤー矯正を選ばれる方も増えています。取り外しはできませんが、その反面、装着し忘れもなく、どんな歯並びでも対応できるのがワイヤー矯正のメリットです。
当院の表側矯正では「目立ちにくい加工」がされている装置を選ぶことができますので、まずはご相談ください。

前述では表面矯正について紹介しましたが、当院ではさらに、歯の裏側にブラケットを装着してワイヤーを通す裏面矯正(舌側矯正)にも対応しています。職業上、人との会話が避けられない方には最適な矯正方法と言えるでしょう。
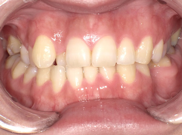
◆ワイヤー矯正(30代女性)


(主訴)歯並びを良くしたい。
右上前歯以外にも奥歯の噛み合わせも改善した方が良かったため、歯の表にワイヤーを装着する、オーソドックスな方法にて矯正。
審美面も機能回復の面でも矯正治療により改善する事が出来た。

矯正治療後、整えた歯並びが徐々に元に戻ってしまうケースがあります。この現象を「後戻り」と呼び、原因のほとんどがリテーナー(歯を保定しておく装置)の装着不足と言われています。後戻りしてしまうと再治療が必要になります。しかし、同じ期間の治療が必要かというと、短期間かつ部分的な矯正で済む場合もあります。歯並び全体を矯正するよりも、費用も期間もかからないことが多いので、まずは当院にご相談ください。
状態を確認・検査させていただいた後、正確な治療費や治療期間を契約前にお伝えします。
無理に治療を勧めることはありませんので、お気軽にご相談ください。


| 昭和大学歯学部 卒業 | |
| 昭和大学歯科病院 臨床研修歯料 勤務 | |
| 昭和大学歯学部 歯科矯正医局 | |
| 日本矯正歯科学会 | |
| 東京矯正歯科学会 | |
| 日本口蓋裂学会 | |
| 日本顎変形症学会 |
専門性 | 抜歯 | 虫歯・歯周病治療 | 1つの医院で完結 | |
矯正「専門」医院 | ◎ | × | × | 〇 |
「総合」歯科医院(当院) | 〇or△ | 〇 | 〇 | 〇 |
どのような矯正治療方法がありますか?
透明で目立たないマウスピース矯正と、幅広い症例に対応できるワイヤー矯正の二つの方法があります。
矯正治療が完了した後に歯並びは元に戻りませんか?
治療後の「後戻り」にしっかりと対応しています。他院での後戻りの再矯正治療も可能です。
治療中の見た目が気になります。
透明なマウスピース矯正のほか、ワイヤー矯正でも目立ちにくい装置や歯の裏側に装着する矯正にも対応しています。
矯正治療はどんな先生が担当してくれますか?
はい、日本矯正歯科学会が認定する専門医・認定医が在籍しており、質の高い矯正治療を提供しています。
矯正治療中に虫歯や歯周病になった場合はどうなりますか?
当院は総合歯科医院のため、矯正治療と並行して虫歯や歯周病の治療も同じ医院で受けることができます。
当院では、患者さんが抱えていらっしゃるお口のお悩みや疑問・不安などにお応えする機会を設けております。どんなことでも構いませんので、私たちにお話していただけたらと思います。
ご興味がある方は下記からお問い合わせください。